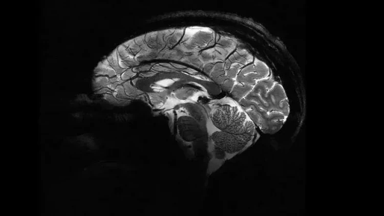
İnsan beyninin ən aydın görüntüsü - FOTO

Elm adamları insan beyninin ən aydın görüntüsünü dərc ediblər. Şəkli dünyanın ən güclü maqnit rezonans tomoqrafiya (MRT) cihazı ilə əldə etmək mümkün olub.

İnsan beyninin ən aydın görüntüsü - FOTO
Elm adamları insan beyninin ən aydın görüntüsünü dərc ediblər. Şəkli dünyanın ən güclü maqnit rezonans tomoqrafiya (MRT) cihazı ilə əldə etmək mümkün olub.

meqale.com oxuya istinadən bildirir ki, fotonu Fransa Atom Enerjisi və Alternativ Enerji Agentliyi (CEA) yayımlayıb.

Bildirilib ki, "Iseult" adlı MRT cihazı ilə çəkilən şəkil 20 ildən çox davam edən araşdırma nəticəsində əldə olunub.

Araşdırmalar çərçivəsində MRT cihazının son bir neçə ayda təxminən 20 sağlam könüllü üzərində sınaqdan keçirildiyi və ən aydın beyin görüntüsünün təxminən dörd dəqiqə ərzində əldə edildiyi ifadə edilib.

Açıqlamada qeyd olunub ki, 11,7 Tesla maqnit gücünə malik "Iseult" cihazı ilə qısa müddətdə çəkilən görüntüləri xəstəxanalarda istifadə edilən cihazlarla əldə etmək saatlar çəkə bilər.

meqale.com

Xəbərlərimizi WhatsApp kanalımızdan da oxuyun